Header Ads

The new definition of COVID-19

QuickTake Tonight
Bloomberg

Greetings, QuickTake readers! In this edition: Barr's rare rebuke, Syria's massive displacement, and is this the beginning of the end of Australia's devastating fire season?

Hubei cases spike again

China's Hubei province reported 4,823 additional coronavirus cases and 116 more deaths on Friday, the second day of using a new method to tally infections. A day earlier, Hubei shocked the world after reporting a 45% jump in new cases mostly due to the expanded criteria covering "clinical cases," patients who exhibit COVID-19 symptoms but tested negative for the virus. While the WHO said the revised method would allow clinicians to report cases and care for patients faster, it also crushed optimism that the epidemic was waning and threw previous estimates of the disease's progression into disarray. Friday's additional confirmed cases were far lower than the 14,840 that Hubei added on Thursday but still roughly double what the province had been reporting daily before the new method took effect. Confirmed cases worldwide now total more than 64,000 with at least 1,483 deaths in mainland China.

More: 

  • Coronavirus could infect two-thirds of the world population, a WHO epidemiologist warned.
  • More than 50 countries or territories have instituted travel bans, and flights in China fell by half over the past month.

$ignificant figures

832,000. At least that many people, mostly children, have been displaced by the Syrian government offensive in northwestern Idlib since December, the UN said, with more than 140,000 uprooted in the last three days.

51-45. The U.S. Senate voted to advance a resolution that would limit Trump from pursuing military action in Iran without congressional approval after eight Republicans sided with Democrats.

112. The age of Chitetsu Watanabe of Japan, the newly Guinness-certified world's oldest man, who raises bonsai trees in his spare time and says his secret to old age is to always "keep a smile on your face."

Highly quotable

"Impossible to do my job." AG William Barr, in a rare public rebuke, said "it's time [for Trump] to stop tweeting about DOJ criminal cases," adding "I cannot do my job with constant commentary that undercuts me."

"The fight of the century." While visiting a melting glacier in the French Alps, President Emmanuel Macron said the battle against climate change and environmental ruin was "at the core of the destiny of humankind."

"Do what scares you." Back on Earth, astronaut Christina Koch, who spent a record-328 days in space, encouraged people to push their limits, live up to their dreams—and break her record ASAP.

This is not normal

Alarming drop. As Antarctica temps hit a record 68° F, a study found that penguin colonies fell 77% there over the past 50 years, due to warming oceans and less sea ice that's wiped out their main source of food: krill. 

The future is now

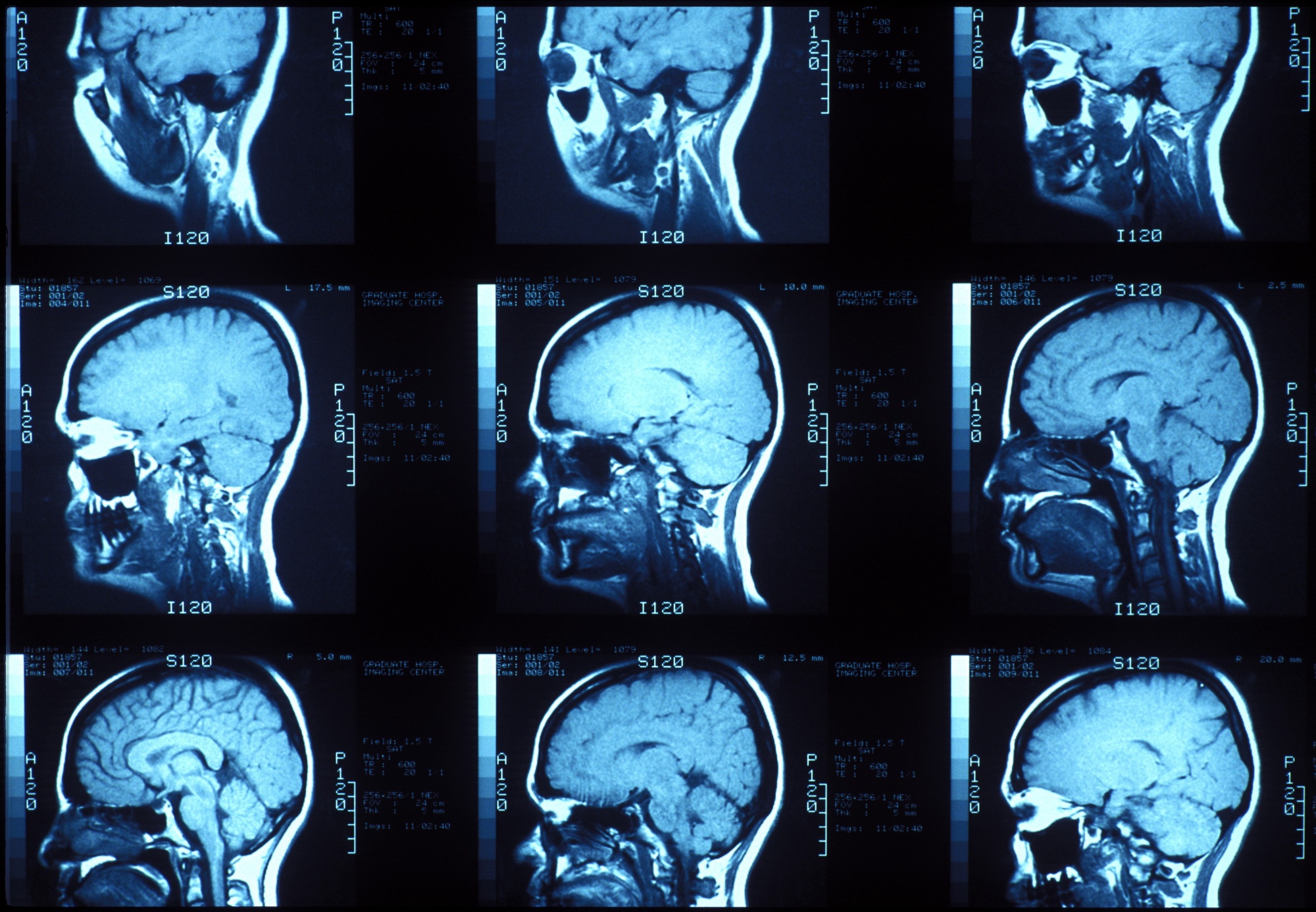
Cerebral stimulation. A tiny electric brain implant could "awaken" coma patients, scientists said, after they identified—then zapped—a tiny zone in the brains of unconscious monkeys, who suddenly woke up.

What's good

Finally. All wildfires in Australia's New South Wales, which killed dozens of people and destroyed at least 3,000 homes, have been "contained" for the first time this season, state fire officials say, thanks, in part, to heavy rain.

Now that you're caught up... Tell your friends to sign up to receive the QuickTake newsletter five days a week, and follow us on Twitter, YouTube, Instagram and Facebook.

Before you go: So long, marijuana. Psychedelics are the next big thing in pharmaceuticals. Here's why.

Thanks for reading!
-Andrew Mach

 

Before it's here, it's on the Bloomberg Terminal. Find out more about how the Terminal delivers information and analysis that financial professionals can't find anywhere else. Learn more.

 

No comments